Lze na rentgenovém snímku vidět, že někdo vypírá THC?

Lze na rentgenovém snímku vidět, že někdo vypírá THC?

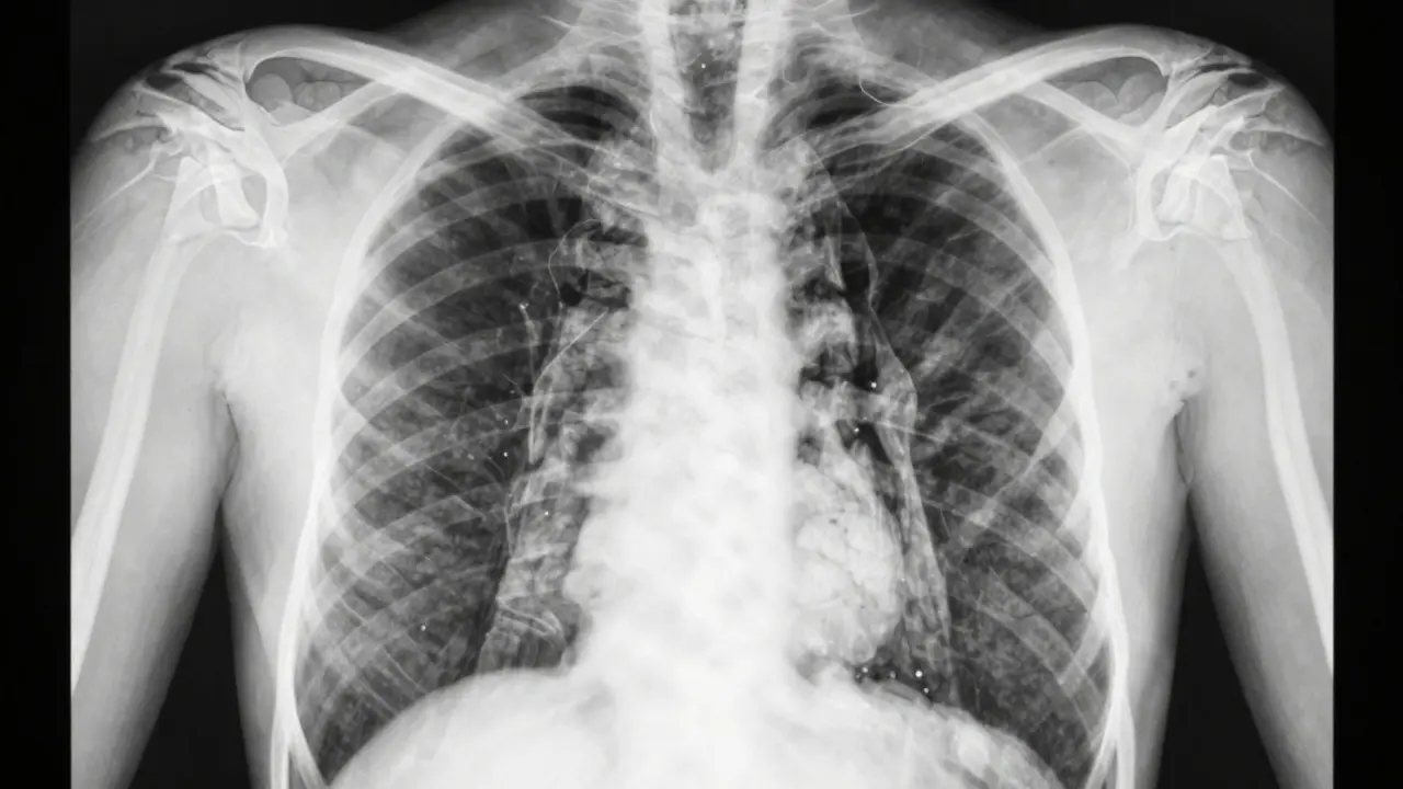
Na rentgenovém snímku plic nevidíte, že někdo vypírá THC. Žádná rentgenová technologie nezobrazuje přítomnost kapaliny, oleje nebo chemických látek ve vdechovaném paru. Rentgen ukazuje jen strukturu tkaní - kosti, plíce, srdce, cévy. Nevidíte, co tam dýcháte, jen jak to ovlivňuje tělo.

Co vlastně rentgen ukazuje?

Rentgenový snímek je jako černobílá fotografie vnitřních struktur. Kosti jsou bílé, protože jsou husté a blokují záření. Plicní tkáň je šedá, protože je lehká a propouští více záření. Tekutiny, jako je krev nebo hlen, se na snímku objeví jako tmavší oblasti, ale jen pokud jsou dostatečně husté - například při zápalu plic nebo tekutině v plicích.

Vypírání THC nezanechává na rentgenu žádný charakteristický vzor. Neexistuje žádný „signál“ nebo „stopy“ od vape, které by lékař mohl jednoznačně identifikovat jako vypírání. To znamená, že i kdyby někdo vypíral denně, jeho rentgen může vypadat naprosto normálně - až do chvíle, kdy se objeví poškození plic.

Co se stane s plicemi při dlouhodobém vypírání THC?

Když vypíráte THC, vdechujete olejové kapky, propylen glykol, glycerin a chemické přísady. Tyto látky se nevstřebávají, ale zůstávají v plicích. Dlouhodobě mohou způsobit:

  • zánět plicních výstelků (e-cigarette or vaping product use-associated lung injury, EVALI)
  • zvýšený hlen a kašel
  • sníženou plicní funkci
  • pneumonii nebo fibrozu (tvrdnutí plicní tkáně)

Tyto změny už na rentgenu vidět můžete. Plicní tkáň se může objevit jako „mramorová“ nebo „zmatená“, což naznačuje zánět nebo jizvy. V některých případech se objeví plynové vakúny nebo kolem plic tekutina. Ale to už je pozdní fáze - ne vypírání samo o sobě, ale jeho následky.

Je možné rozpoznat vypírání z rentgenového snímku podle vzhledu plic?

Ne. Lékaři nevidí, zda jste vypírali THC, nikotin nebo jen vzduch. Rentgen je nástroj pro detekci poškození, ne pro detekci činnosti. Pokud máte zdravé plicní tkáně, rentgen bude vypadat stejně bez ohledu na to, zda jste vypírali nebo ne.

Příklad: Dva muži, oba 28 let. Jeden vypírá THC každý den po tři roky. Druhý nikdy nevypíral. Oběma udělají rentgen. Pokud nemají žádné příznaky, oba snímky budou vypadat stejně - čisté, bez zánětu, bez jizev. Až když se prvnímu objeví kašel, zápal nebo dušnost, až tehdy se na rentgenu začnou objevovat změny - a ty už neříkají, že je to z důvodu THC, ale že jsou plicní tkáně poškozené.

Jak se vypírání THC projevuje v praxi?

Ve skutečnosti je nejčastější příznak dlouhodobého vypírání THC chronický kašel - obzvláště ráno. Lidé často říkají: „Mám kašel jako kuřák, ale já nekouřím.“ Někteří mají zvýšenou únava, obtíže s dýcháním při chůzi nebo závratě. Tyto příznaky se objevují postupně, často po měsících nebo letech.

Na rozdíl od kouření tabáku, kde se poškození projevuje hlavně v plicích, vypírání THC může ovlivnit i jiné systémy. Někteří pacienti mají problémy s kardiovaskulárním systémem - zvýšený tlak, zrychlený tep. To se na rentgenu nevidí, ale může ukázat EKG nebo ultrazvuk srdce.

Mikroskopický pohled na olejové částice v plicních sklípcích.

Co lékaři dělají, když podezřívají vypírání THC?

Lékaři neříkají: „Vidím na rentgenu, že jste vypíral.“ Místo toho se ptají. Výslech je klíčový. Pokud máte příznaky, jako je kašel, únavu, závratě nebo ztrátu chuti, lékař se zeptá:

  • „Používáte nějaké vape?“
  • „Jaký obsah máte v kapalince?“
  • „Kdy jste naposledy vypíral?“

Pokud potvrzíte, že vypíráte THC, provedou další testy - například CT plic (kompletnější než rentgen), krevní testy nebo plicní funkční testy. CT může ukázat jemnější změny, které rentgen přehlédne. Ale i CT nevidí THC. Vidí jen důsledky.

Je možné detekovat THC v těle jiným způsobem?

Ano, ale ne na rentgenu. THC se v těle ukládá v tukových tkáních a může být detekováno v krvi, moči, slinách nebo vlasích. To se dělá pomocí laboratorních testů - ne pomocí záření.

Na rozdíl od alkoholu, který se rychle vylučuje, THC může být v těle detekovatelné i po týdnech nebo měsících, pokud se používá pravidelně. To je důvod, proč někteří zaměstnavatelé nebo soudní orgány požadují testy na THC - ne rentgeny.

Co když máte zájem o zdraví plic?

Nejlepší způsob, jak zjistit, zda vypírání THC poškozuje vaše plicní tkáně, je:

  1. Přestat vypírat a sledovat, zda se vaše dýchání zlepší
  2. Nechat si udělat plicní funkční test (spirometrie)
  3. Pokud máte příznaky, nechat si udělat CT plic
  4. Nechat si provést krevní testy na zánětlivé markery

Nikdo vám neřekne: „Vidím na rentgenu, že jste vypíral.“ Ale pokud přestanete a vaše plicní funkce se zlepší, víte, že to bylo důvodem.

Porovnání zdravých a poškozených plic s příznaky EVALI.

Je rentgen užitečný pro lidi, kteří vypírají THC?

Ano, ale jen jako součást celkového vyšetření. Pokud máte kašel, dušnost nebo bolest na hrudi, rentgen je dobrý první krok. Ukáže, zda je něco špatně - zánět, tekutina, infekce. Ale neřekne vám, proč je to špatně.

Je to jako když vás auto nejede a vy se podíváte na kontrolku „motor“. Kontrolka svítí - to víte. Ale nevíte, jestli je to špatná baterie, špatný palivový filtr nebo poškozený motor. Potřebujete další diagnostiku.

Rentgen je ta kontrolka. Neřeší problém. Ukazuje, že problém existuje. A potom už musíte jít dál - k lékaři, který se ptá, co jste dělali, a co jste vdechli.

Co říkají odborníci?

Podle Centra pro kontrolu a prevenci nemocí (CDC) v USA je EVALI (poškození plic spojené s vapingem) spojené především s vypíráním THC obsahujícího vitamín E acetát. Tato látka se v plicích promění v tukovou hmotu, která způsobuje zánět. V roce 2019 bylo v USA zaznamenáno přes 2800 případů a 68 úmrtí spojených s EVALI.

Evropská agentura pro bezpečnost léčiv (EMA) varuje, že „vypírání THC není bezpečné“ a že „dlouhodobé účinky nejsou známy“. Žádný z těchto orgánů neříká, že rentgen může detekovat vypírání. Všichni říkají: „Přestaněte to dělat, pokud chcete zachovat zdravé plicní tkáně.“

Je možné, že v budoucnu budou rentgeny schopny detekovat vypírání?

Nepravděpodobné. Rentgen funguje na principu hustoty tkaní. THC, oleje nebo par nejsou dostatečně husté, aby ovlivnily rentgenové záření. I pokud by se vytvořila nová technologie, jako například spektroskopie nebo MRI s kontrastem, stále by nebyla schopna říct: „Tady je THC.“

Možná by se jed day mohlo detekovat, že se v plicích nachází neobvyklá chemická složka - ale to by bylo něco úplně jiného než dnešní rentgen. A to by se používalo jen ve výzkumných centrech, ne v běžné klinice.

Závěr: Rentgen nevidí vypírání, ale vaše tělo ano

Nemůžete na rentgenu vidět, že někdo vypírá THC. Ale vaše plicní tkáně si to pamatují. Každý vdech olejového paru je jako když do plic nasypete jemný prach. Na začátku to nepůsobí. Ale po letech se to může proměnit v trvalé poškození - které už se nevyléčí.

Neexistuje žádný „bezpečný“ způsob, jak vypírat THC. Pokud chcete zůstat zdravý, nejlepší volba je přestat. Pokud už to děláte, dejte si rentgen nebo CT, ale ne proto, abyste zjistili, zda vypíráte. Dejte si ho proto, abyste zjistili, zda už vaše plicní tkáně nejsou poškozené.

Největší riziko není v tom, že vás někdo „chytil“ na rentgenu. Je v tom, že se to stane, aniž byste to vůbec věděli - až když bude pozdě.

Lze na rentgenovém snímku vidět přítomnost THC?

Ne. Rentgen neukazuje chemické látky, jako je THC. Zobrazuje pouze hustotu tkání - kosti, plicní struktury, tekutiny. THC je organická látka, která neblokuje rentgenové záření a proto je neviditelná.

Může rentgen ukázat poškození plic způsobené vapingem?

Ano, ale jen pokud je poškození dostatečně pokročilé. Rentgen může ukázat zánět, jizvy, tekutinu nebo změny v plicní struktuře, které mohou být způsobeny vapingem. Ale neukáže příčinu - jen důsledek.

Je možné z rentgenového snímku poznat, že někdo vypírá nikotin nebo CBD?

Ne. Všechny druhy vapingu - bez ohledu na obsah - nezanechávají na rentgenu specifické stopy. Pouze pokročilé poškození plic může být vidět, a to bez možnosti určit, co jej způsobilo.

Co lékaři dělají, když podezřívají, že pacient vypírá THC?

Lékaři se neptají na rentgen, ale na anamnézu. Ptají se, co používáte, jak často, jak dlouho a jaké příznaky máte. Pokud je potřeba, provedou CT plic, plicní funkční testy nebo krevní testy na zánětlivé markery.

Je vypírání THC bezpečné, pokud nevidím žádné změny na rentgenu?

Ne. Rentgen je jen jedním nástrojem. Může být normální i tehdy, když se v plicích postupně hromadí škodlivé látky. Poškození může být na molekulární úrovni, aniž by se projevovalo na snímku. Nejbezpečnější volba je přestat vypírat.

Radim Novotný
Radim Novotný

Jsem Radim Novotný, expert na CBD a jeho aplikace. Mé hlavní zaměření je na výzkum a vývoj produktů s CBD, THC a HHC. Pracuji v laboratoři ve městě Brno, kde se specializuji na inovace v oblasti vaping. Mým vedlejším zájmem je psaní blogů a článků, ve kterých se snažím přiblížit téma CBD široké veřejnosti. Mojí vášní je objevování nových možností a účinků cannabidiolu.